Publications
Publications & Pre-prints
2026
Decoupling Phase Separation and Fibrillization Preserves Activity of Biomolecular Condensates, Mahendran, T. S., Singh, A., Srinivasan, S., Jennings, C. M., Neureuter, C., Gindra, B. H., Parekh, S. H., & Banerjee, P. R., Nature Communications, 2026.
The age-dependent transition of metastable, liquid-like protein condensates to amyloid fibrils is an emergent phenomenon in numerous neurodegeneration-linked protein systems. A key question is whether the thermodynamic driving forces underlying phase separation and maturation to amyloid fibrils are distinct and separable. Here, we address this question using an engineered version of microtubule-associated protein Tau, which forms biochemically-active condensates. These metastable protein condensates rapidly convert to amyloid fibrils under quiescent, cofactor-free conditions. In particular, the interfaces of condensates promote fibril nucleation, impairing condensate activity in recruiting tubulin and catalyzing microtubule assembly. Remarkably, a small molecule metabolite, L-arginine, selectively impedes age-dependent amyloid formation in a valence and chemistry-specific manner without perturbing phase separation. By enhancing condensate viscoelasticity, L-arginine counteracts the age-dependent decline in condensate activity. These results provide a proof-of-principle demonstration that small molecule metabolites can enhance the metastability of protein condensates and delay the formation of amyloid fibrils, thereby preserving biochemical function.
Histone H3 Tail Charge Patterns Govern Nucleosome Condensate Formation and Dynamics, Hammonds, E. F., Singh, A., Suresh, K. K., Yang, S., Meidl Zahorodny, S. S., Gupta, R., Potoyan, D. A., Banerjee, P. R., & Morrison, E. A., Nucleic Acids Research, 2026. https://doi.org/10.1093/nar/gkag050
Emerging models of nuclear organization suggest that chromatin forms functionally distinct microenvironments through phase separation. As chromatin architecture is organized at the level of the nucleosome and regulated by histone post-translational modifications, we investigated how these known regulatory mechanisms influence nucleosome phase behavior. By systematically altering charge distribution within the H3 tail, we found that the terminal and central regions modulate the phase boundary and tune nucleosome condensate viscosity differentially, as revealed by microscopy-based assays, microrheology, and simulations. Nuclear magnetic resonance relaxation experiments revealed that H3 tails remain dynamically mobile within condensates, and their mobility correlates with condensate viscosity. These results demonstrate that the number, identity, and spatial arrangement of basic residues in the H3 tail critically regulate nucleosome phase separation. Our findings support a model in which nucleosomes, through their intrinsic properties and modifications, actively shape the local chromatin microenvironment—providing new insight into the histone language in chromatin condensates.
2025
Chromatin binding regulates phase behavior and morphology of condensates formed by prion like domains, Supakar, A., Davis, R. B., Biswas, S., Yang, S., Potoyan, D. A., Banerjee, P. R., Journal of Molecular Biology, 2025. doi: 10.1016/j.jmb.2025.169398
In this study, we address why transcription factor (TF) condensates display markedly different properties in live cells compared to in vitro systems. Whereas in vitro reconstitution assays typically reveal large, spherical condensates, TF condensates in cells are smaller, irregularly shaped, and often chromatin-associated. To probe this discrepancy, we engineered a synthetic construct fusing the phase-separation–driving prion-like domain (PLD) of SS18 with the DNA-binding domain (DBD) of the pioneer TF FOXA1. SS18-PLD alone formed large spherical condensates in chromatin-depleted nuclear regions, consistent with homotypic phase separation. In contrast, fusion with FOXA-DBD redirected condensates to chromatin, where they adopted irregular, aspherical morphologies and exhibited chromatin-wetting behavior. Ablating DNA-binding activity restored spherical morphologies, demonstrating that DBD-mediated chromatin interactions counteract condensate coarsening and spherical symmetry. Coarse-grained simulations recapitulated these trends, highlighting the interplay between PLD–PLD and DBD–DNA interactions in shaping condensate morphology and dynamics. These findings establish chromatin affinity as a key determinant of transcriptional condensate organization in vivo.
Homotypic RNA clustering accompanies a liquid-to-solid transition inside the core of multi-component biomolecular condensates, Mahendran, T. S., Wadsworth, G. M., Singh, A., Gupta, R., & Banerjee, P. R., Nature Chemistry, 2025. doi: 10.1038/s41557-025-01847-3
This study explores how biomolecular condensates influence irreversible RNA aggregation linked to neurological disorders. We show that repeat-expanded RNAs undergo an age-dependent transition within multi-component condensates to form nanoscale clusters. These homotypic RNA clusters create multi-phasic condensates featuring RNA-rich solid cores encased by RNA-depleted fluid shells. The timing of clustering depends on RNA sequence, secondary structure, and repeat length. Crucially, the stress granule protein G3BP1 mitigates aberrant RNA aggregation by buffering RNA-RNA interactions.
Tunable metastability of condensates reconciles their dual roles in amyloid fibril formation, Das, T., Zaidi, F. K., Farag, M., Banerjee, P. R., Pappu, R. V., & Mittag, T., Molecular Cell, 85(11), 2230–2245.e7, 2025. doi: 10.1016/j.molcel.2025.05.011
This study investigates how stress granules form through interactions between RNA-binding proteins with prion-like low-complexity domains (PLCDs) and RNA. It reveals that homotypic interactions driving liquid-like condensation and amyloid fibril formation in hnRNPA1’s PLCD are distinct processes. While condensate interiors suppress fibril formation, interfaces promote it. ALS-associated mutations increase fibril stability and reduce condensate metastability, accelerating fibril formation. By designing mutations to enhance condensate stability, the researchers showed that stress granule disassembly can be restored in cells despite fibril formation.
Histone H3 tail charge patterns govern nucleosome condensate formation and dynamics, Hammonds, E. F., Singh, A., Suresh, K. K., Yang, S., Zahorodny, S. S. M., Gupta, R., Potoyan, D. A., Banerjee, P. R., & Morrison, E. A., bioRxiv, 2025. doi: 10.1101/2025.04.09.647968
This study explores how chromatin organizes into distinct nuclear microenvironments via phase separation. By modifying charge patterns in the H3 histone tail, the researchers showed that specific regions influence nucleosome phase boundaries and condensate viscosity. Nuclear magnetic resonance revealed that H3 tails remain mobile within condensates, with mobility linked to viscosity. These findings highlight how the number, type, and arrangement of basic residues in H3 tails regulate nucleosome phase separation, suggesting that nucleosomes and their modifications actively shape local chromatin environments.
Decoupling Phase Separation and Fibrillization Preserves Activity of Biomolecular Condensates, Mahendran, T. S., Singh, A., Srinivasan, S., Jennings, C. M., Neureuter, C., Gindra, B. H., Parekh, S. H., & Banerjee, P. R., bioRxiv, 2025 Mar 19. doi: 10.1101/2025.03.18.64397
This study examines the age-dependent transition of Tau protein condensates from liquid-like states to amyloid fibrils, a process linked to neurodegeneration. Using engineered Tau condensates, the researchers show that fibril formation occurs rapidly at condensate interfaces, impairing Tau’s ability to support microtubule assembly. They demonstrate that the small molecule L-arginine specifically inhibits this transition without affecting phase separation, preserving condensate function by increasing the fibril nucleation barrier. These findings highlight how metabolites can enhance condensate stability and prevent functional decline.
The Critical Role of the 2’-OH group in Phase Separation and Percolation Transitions of RNA, Wadsworth, G. M., Aierken, D., Thurston, G. M., Joseph, J. A., & Banerjee, P. R., bioRxiv, 2025. https://doi.org/10.1101/2025.02.26.638501
This study reveals the crucial role of the 2’-OH group of ribose sugar in Mg²⁺-dependent RNA phase separation and percolation transitions. The absence of 2’-OH, as in DNA, inhibits phase separation and suppresses network formation within condensates. Simulations show that DNA’s increased solvation and compaction affect phase behavior differently from RNA. Additionally, common sugar modifications like 2’-O-methylation reduce RNA phase transition propensity. These findings illuminate how sugar chemistry and flexibility regulate nucleic acid condensate formation and dynamics.
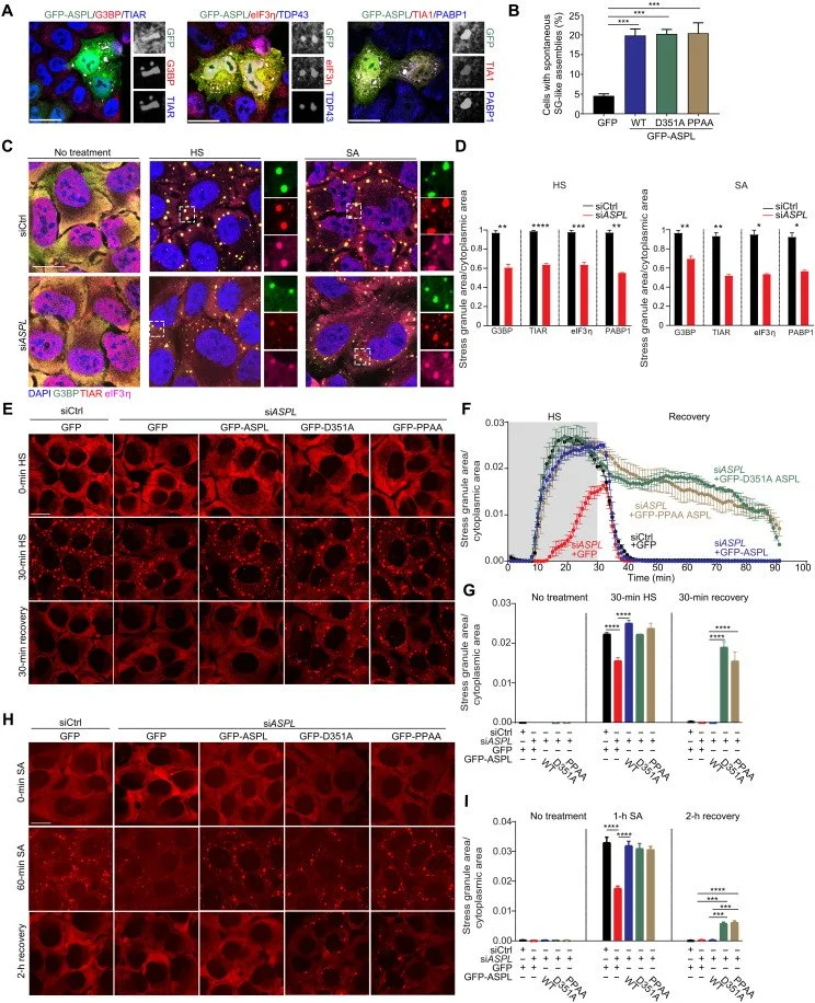
ASPL Couples the Assembly of Stress Granules with Their VCP-Mediated Disassembly, Pareek, G., Li, D., Wang, B., Wu, J., Freibaum, B. D., Basalla, J. L., Mahendran, T. S., Singh, A., Nourse, A., Quan, H., Kalathur, R., Rana, M. S., Maxwell, B., Wang, Y.-D., Messing, J., Ni, Y., Pounds, S., Dharmat, R., Lu, J., Li-Harms, X., Carisey, A. F., Pruett-Miller, S. M., Taylor, J. P., Banerjee, P. R., Kim, H. J., & Kundu, M., Science Advances, 2025. https://doi.org/10.1126/sciadv.ady3735
In a joint study between the Banerjee Lab and the Kundu Lab at St. Jude, we identified ASPL as a key protein that helps cells both assemble and clear stress granules during stress. ASPL stabilizes G3BP to promote granule formation and recruits VCP to disassemble them, linking these opposing processes. Disease-linked VCP mutations disrupt this partnership, causing persistent granules—a hallmark of several neurodegenerative disorders. This work reveals a new control point in the cellular stress response with potential therapeutic relevance.
Intrinsically Disordered Protein Coating for Oral Delivery of Peptide Drugs, Ney, M., Sirohi, P., Shmidov, Y., Singh, A., Wadsworth, G., Li, X., Zheng, J., Peng, E., Fan, L., Mahendran, T. S., Deshpande, S., Tripathi, N., Su, J. C., Milligan, J. J., Wang, Y.-X., Banerjee, P. R., & Chilkoti, A., bioRxiv, 2025. https://doi.org/10.1101/2025.10.23.684059
Advancing oral delivery of peptide therapeutics requires innovative materials that overcome gastrointestinal barriers. We introduce the first engineered synthetic intrinsically disordered protein (SynIDP) that self-assembles into an enteric coating, encapsulating peptide drugs to enhance gastric acid resistance and intestinal targeting. This SynIDP recapitulates the molecular design principles and phase transitions of native IDPs to exhibit temperature-controlled condensation and pH-controlled solidification—both transitions being reversible and precisely tuned to intestinal cues. Through detailed analysis of the kinetics of the liquid-to-solid phase transition, we achieve control over the nano-to-microscale morphology of the protein coating, optimizing drug encapsulation and protection. The coating protects peptide-based weight loss drugs for over 60 minutes in simulated gastric conditions, then dissolves to release the active compound. Oral delivery to obese mice results in more consistent weight loss compared to the unencapsulated drug. This modular protein-based coating is a promising platform technology for enhancing oral peptide drug delivery and improving patient compliance.
Viscoelasticity and Interface Properties of Multi-Component Condensates Govern Protein Sequestration and Suppression of Amyloid Formation, Mahendran, T. S., Bremer, A., Gui, X., Singh, A., Basalla, J. L., Chittori, S., Marzahn, M. R., Das, T., Mittag, T., & Banerjee, P. R., bioRxiv, 2025. https://doi.org/10.64898/2025.12.29.695806
Stress granules (SGs) are multi-component protein–RNA condensates widely viewed as crucibles for fibril formation in neurodegenerative diseases such as amyotrophic lateral sclerosis. Here, we test this model by examining whether SG-mimics promote or suppress amyloid formation. Using multi-component programmable peptide–nucleic acid condensates, we show that condensates delay amyloid assembly by sequestering soluble proteins, and that fibrils grow in the dilute phase. Systematic tuning of condensate material properties reveals two key modulating mechanisms: the density of fibril-forming proteins at condensate interfaces dictates the lag phase of fibril assembly, and condensate viscoelasticity regulates protein efflux–driven fibril growth. These principles extend to SG-mimic condensates formed by G3BP1 and RNA, suggesting that SGs may function as potent suppressors rather than crucibles of pathological amyloid assembly.
2024
Biomolecular Condensates can Enhance Pathological RNA Clustering, Mahendran, T. S., Wadsworth, G. M., Singh, A., & Banerjee, P. R., bioRxiv, doi: 10.1101/2024.06.11.598371 Link to the Pre-print
This study investigates how biomolecular condensates affect the aggregation of disease-associated repeat RNAs in neurological disorders. We demonstrate that these RNAs undergo an age-dependent transition within condensates to form solid clusters, creating multiphasic structures with RNA-rich cores surrounded by RNA-depleted fluid shells. The timing of this clustering process depends on RNA sequence, structure stability, and repeat length. Notably, the stress granule protein G3BP1 counteracts this aberrant RNA clustering. Our findings suggest biomolecular condensates can serve as sites for pathological RNA aggregation while highlighting how RNA-binding proteins may protect against these harmful transitions.
Fluorogenic RNA-based Biomaterials for Imaging and Tracking the Cargo of Extracellular Vesicles, Bonacquisti, E. E., Ferguson, S. W., Wadsworth, G. M., Jasiewicz, N. E., Wang, J., Chaudhari, A. P., Kussatz, C. C., Nogueira, A. T., Keeley, D. P., Itano, M. S., Bolton, M. L., Hahn, K. M., Banerjee, P. R., Nguyen, J., Journal of Controlled Release, Volume 374, 2024, Pages 349-368, doi: 10.1016/j.jconrel.2024.07.043 Link to the Paper
This study introduces EXO-Probe, a novel RNA-based biomaterial that combines an EV-loading sequence with a fluorogenic RNA Mango aptamer to enable visualization and tracking of RNA within extracellular vesicles. Our technology allows non-destructive quantification of EVs and investigation of RNA trafficking to multivesicular bodies and extracellular vesicles. EXO-Probe provides a valuable tool for studying the role of RNA in EV-mediated cellular communication and has potential applications in enhancing EVs as therapeutic delivery vehicles.
Diffusiophoresis Promotes Phase Separation and Transport of Biomolecular Condensates, Doan, V. S., Alshareedah, I., Singh, A., Banerjee, P. R., Shin, S., Nature Communications, volume 15, Article number: 7686 (2024), doi: 10.1038/s41467-024-51840-6 Link to the Paper
This study reveals how ion concentration gradients in cellular environments drive the formation and transport of biomolecular condensates through diffusiophoresis. Using microfluidic experiments, we demonstrate that these gradients accelerate biomolecule transport, promote location-specific condensate formation, and impart directional motility to condensates. The interplay between gradient-induced movement and reentrant phase behavior extends condensate lifetimes through dynamic redistribution. Our findings establish diffusiophoresis as a critical non-equilibrium force governing biomolecular condensate dynamics in heterogeneous cellular environments.
Sequence-Specific Interactions Determine Viscoelasticity and Ageing Dynamics of Protein Condensates, Alshareedah, I., Borcherds, W. M., Cohen, S. R., Singh, A., Posey, A. E., Farag, M., Bremer, A., Strout, G. W., Tomares, D. T., Pappu, R. V., Mittag, T., & Banerjee, P. R., Nature Physics, Volume 20, Pages 1482–1491 (2024), doi: 10.1038/s41567-024-02048-y Link to the Paper
This study examines how protein sequence determines the viscoelastic properties and aging dynamics of condensates formed by the prion-like domain of hnRNP A1 and its variants. We demonstrate that these condensates begin as metastable Maxwell fluids, with aromatic interactions controlling their initial viscoelastic properties. Over time, they undergo sequence-dependent aging into non-fibrillar, β-sheet-rich semi-crystalline solids. Our findings suggest that evolutionary selection of protein sequences likely balances the metastability of fluid condensates against conversion to stable solid states on biologically relevant timescales.
Direct Computations of Viscoelastic Moduli of Biomolecular Condensates, Cohen, S. R., Banerjee, P. R., & Pappu, R. V., Journal of Chemical Physics, 7 September 2024; 161 (9): 095103, doi: 10.1063/5.0223001 Link to the Paper
This study introduces a computational approach for directly calculating the viscoelastic properties of biomolecular condensates by extending the Rouse model to incorporate sequence-specific molecular interactions. We demonstrate that accurate predictions require accounting for both intra- and inter-chain contacts, confirming that condensates behave as generalized Maxwell fluids with continuous relaxation time distributions. Our method enables the inverse calculation of relaxation time spectra from complex shear moduli, providing a valuable complement to emerging experimental microrheology techniques for characterizing condensate dynamics.
Determinants of viscoelasticity and flow activation energy in biomolecular condensates: Alshareedah, I., Singh, A., Yang, S., Ramachandran, V., Quinn, A., Potoyan, D. A., Banerjee, P. R. Science Advances, 16 Feb 2024, Vol 10, Issue 7, doi: 10.1126/sciadv.adi6539 Link to the Paper
This study combines experimental microrheology with molecular simulations to uncover the physical factors governing the material properties of biomolecular condensates. We demonstrate that while mechanical relaxation times depend on both intermolecular interactions and chain length, the energy barrier for network reconfiguration (flow activation energy) is determined solely by interaction strengths. These findings provide fundamental insights into how molecular characteristics dictate the complex viscoelastic and transport properties of biomolecular condensates.
Heterotypic interactions can drive selective co-condensation of prion-like low-complexity domains of FET proteins and mammalian SWI/SNF complex Davis, R. B., Supakar, A., Ranganath, A. K., Moosa, M. M., Banerjee, P. R. Nature Communications volume 15, Article number: 1168 (2024) Link to the Paper
This review examines the critical role of RNAs in driving phase separation within biomolecular condensates, shifting focus from the traditionally protein-centric view of these structures. We highlight recent advances in understanding how RNA molecules contribute to condensate formation, regulation, and function in both normal cellular processes and disease states. The review also explores promising research directions that could reveal RNA condensates' role in spatiotemporal cellular regulation and inspire new RNA-based therapeutic approaches.
RNA-driven phase transitions in biomolecular condensates Wadsworth, G. M., Srinivasan, S., Lai, L. B., Datta, M., Gopalan, V., Banerjee, P. R. Molecular Cell Volume 84, Issue 19, P3692-3705, (October 2024). Link to the review
This study reveals that multiple disordered domains in the mammalian SWI/SNF complex possess prion-like properties with inherent phase separation capabilities. We demonstrate that these domains engage in specific heterotypic interactions with the prion-like domain of FUS, forming co-condensates even under dilute conditions. This positive cooperativity between heterotypic prion-like domains appears to drive the selective co-recruitment of chromatin remodelers with specific transcription factors, providing insight into how oncogenic FET fusion proteins may hijack normal chromatin regulation.
2023
RNAs undergo phase transitions with lower critical solution temperatures Wadsworth, G. M., Zahurancik, W. J., Zeng, X., Pullara, P., Lai, L. B., Sidharthan, V., Pappu, R. V., Gopalan, V., Banerjee, P. R. Nature Chemistry volume 15, pages 1693–1704 (2023) Link to the paper
This study reveals that RNAs can undergo phase separation independently of proteins, exhibiting lower critical solution temperatures driven primarily by the phosphate backbone in the presence of Mg²⁺ ions. We demonstrate that RNA condensates can further experience percolation transitions within dense phases, potentially causing dynamic arrest and affecting ribozyme activity. These findings suggest that RNA-driven phase transitions play important but previously unrecognized roles in ribonucleoprotein granule formation.
Dissecting the biophysics and biology of intrinsically disordered proteins. Banerjee, P. R., Holehouse, A. S., Kriwacki, R., Robustelli, P., Jiang, H., Sobolevsky, A. I., Hurley, J. M., Mendell, J. T. Trends in Biochemical Sciences. Link to the review
This review examines the essential roles of intrinsically disordered regions (IDRs) in human proteins across critical cellular processes including signaling, transcription, and genome organization. We identify key challenges in understanding IDR function and propose innovative approaches to investigate their importance in both normal physiology and disease states, with particular emphasis on cancer biology.
2022
Measurement of Protein and Nucleic Acid Diffusion Coefficients Within Biomolecular Condensates Using In-Droplet Fluorescence Correlation Spectroscopy. Alshareedah, I., & Banerjee, P. R. Phase-Separated Biomolecular Condensates (pp. 199-213). Humana, New York, NY. Link to the Chapter
Ectopic biomolecular phase transitions: fusion proteins in cancer pathologies. Davis, R. B., Moosa, M. M., & Banerjee, P. R. Trends in Cell Biology. Link to the review
RNA chain length and stoichiometry govern surface tension and stability of protein-RNA condensates. Laghmach, R., Alshareedah, I., Pham, M., Raju, M., Banerjee, P. R., & Potoyan, D. A. iscience, 25(4), 104105. Link to the paper
Temperature-dependent Reentrant Phase Transition of RNA-polycation Mixtures. Pullara, P., Alshareedah, I., Banerjee, P. R. Soft Matter 18.7 (2022): 1342-1349. Link to the paper
From the Themed Collection: 2021 Soft Matter Emerging Investigators.
2021
Programmable Viscoelasticity in Protein-RNA Condensates with Disordered Sticker-Spacer Polypeptides. Alshareedah, I., Moosa, M. M., Pham, M., Potoyan, D. A., Banerjee, P. R. Nature Communications. 12, Article number: 6620 (2021) Link to the paper
Read the UB press release on our article Here
FUS Oncofusion Protein Condensates Recruit mSWI/SNF Chromatin Remodelers via Heterotypic Interactions Between Prion-like Domains. Davis, R. B., Kaur, T., Moosa, M. M., Banerjee, P. R. Protein Science: Special Issue on Biophysics of Biomolecular Condensates. 30(7):1454-1466. Link to the paper
Access to freely available preprint version at bioRxiv. Link to pre-print.
Sequence-encoded and Composition-dependent Protein-RNA Interactions Control Multiphasic Condensate Morphologies. Kaur, T., Raju, M., Alshareedah, I., Davis, R. B., Potoyan, D. A., Banerjee, P. R. Nature Communications. 12, Article number: 872 (2021). Link to the paper.
Quantifying Viscosity and Surface Tension of Multi-Component Protein-Nucleic Acid Condensates. Alshareedah, I., Thurston, G. M. & Banerjee, P. R. Biophysical Journal. 120(7):1161-1169. Link to the paper.
Read the New and Notable highlight of our Biophysical Journal paper by Yu and Lemke.
2020
Sequence-encoded and Composition-dependent Protein-RNA Interactions Control Multiphasic Condensate Topologies. Kaur, T., Raju, M., Alshareedah, I., Davis, R. B., Potoyan, D. A., Banerjee, P. R. Nat Commun 12, 872 (2021). https://doi.org/10.1038/s41467-021-21089-4. Link to the paper
Methods for Characterizing the Material Properties of Biomolecular Condensates. Alshareedah, I., Kaur, T., Banerjee, P. R. 2020. Methods in Enzymology. Volume 646, 2021, Pages 143-183. Link to the chapter
Subversion of Host Stress Granules by Coronaviruses: Potential Roles of π-rich Disordered Domains of Viral Nucleocapsids. Moosa, M. M., Banerjee, P. R. 2020. J Med Virol. 10.1002/jmv.26195. DOI: 10.1002/jmv.26195. Link to the letter to the editor
Phase Transition of RNA-protein Complexes into Ordered Hollow Condensates.Alshareedah, I., Moosa, M. M., Raju, M., Potoyan, D. A., Banerjee, P. R. 2020. Proceedings of the National Academy of Sciences. DOI: 10.1073/pnas.1922365117. Link to the paper.
Protein-RNA vesicles
News Highlight in UB News and Views
News Highlight in phys.org
News Highlight in Genetic Engineering and Biotechnology News
2019
Interplay Between Short-range Attraction and Long-range Repulsion Controls Reentrant Liquid Condensation of Ribonucleoprotein-RNA Complexes.Alshareedah, I., Kaur, T., Ngo, J., Seppala, H., Djomnang Kounatse, L.-A., Wang, W., Moosa, M. M., Banerjee, P. R. 2019. J. Am. Chem. Soc. 141, 37, 14593-14602. https://doi.org/10.1021/jacs.9b03689 Link to the paper
Molecular Crowding Tunes Material States of Ribonucleoprotein Condensates.Kaur, T., Alshareedah, I., Wang, W., Ngo, J., Moosa, M. M., Banerjee, P. R. 2019. Biomolecules, 9(2), 71; https://doi.org/10.3390/biom9020071. Link to the paper
Featured as a Cover Article by Biomolecules
News Highlight in UB News and Views, March 11, 2019
News brief published on the NSFScience360 News Service
Featured article in phys.org
Featured article in EurekAlert
Featured article in BioPhotonics Magazine
Phase Separation of Ligand-Activated Enhancers Licenses Cooperative Chromosomal Enhancer Assembly. Nair, S. J., Yang, L., Meluzzi, D., Oh, S., Yang, F., Friedman, M., Wang, S., Suter, T., Alshareedah, I., Gamliel, A., Ma, Q., Zhang, J., Hu, Y., Tan, Y., Ohgi, K., Jayani, R., Banerjee, P. R., Aggarwal, A. K., Rosenfeld, M. G. 2019. Nature Structural & Molecular Biology. 26, 193–203; https://doi.org/10.1038/s41594-019-0190-5 Link to the paper
Commentary in Nature Structural & Molecular Biology: News and Views. 26, 153–154 (2019).
New highlight published in Nature Review Genetics. 20, 255 (2019)
Divalent cations can control a switch-like behavior in heterotypic and homotypic RNA coacervates. Onuchic, P. L., Milin, A. N., Alshareedah, A., Deniz, A. A., Banerjee,P.R. 2018. Scientific Reports, Vol 9, Article number: 12161. https://doi.org/10.1038/s41598-019-48457-x. Link to the paper
2018
Self-interaction of NPM1 modulates multiple mechanisms of liquid- liquid phase separation. Mitrea, D. M., Cika, J. A., Stanley, C. B., Nourse, A., Onuchic, P. L., Banerjee,P.R., Phillips, A. H., Park, C. G., Deniz, A. A., Kriwacki, R. W. 2018. , Nature Communications. 2018 Feb 26;9(1):842. Link to the paper.
2012-2017: Postdoctoral Work
Reentrant phase transition drives dynamic substructure formation in ribonucleoprotein droplets. Banerjee, P. R.*, Milin, A. N., Moosa M. M., Onuchic, P. L., Deniz, A. A.* 2017. Angew Chem Int Ed Engl. 2017 Sep 11;56(38):11354-11359. PMCID: PMC5647147 (*Corresponding Authors). Link to the paper.
Highlighted as a Very Important Paper by Angew Chem Int Ed Engl
Featured in TSRI News & Views, June 2017
Featured in The Scientist Magazine, June 2017
NPM1 integrates into the nucleolar fraction through multi-modal interactions with R- rich linear motifs and ribosomal RNA. Mitrea, D. M., Cika, J. A., Guy, C. S., Ban, D., Banerjee, P. R., Stanley, C. B., Nourse, A., Deniz, A. A., Kriwacki, R. W. 2016. eLife;10.7554/eLife.13571. Link to the paper
Two-dimensional crowding uncovers a hidden conformation of α-synuclein.Banerjee, P. R.*, Moosa M. M., Deniz, A. A.* 2016. Angew Chem Int Ed Engl. 55(41):12789-92. (*Corresponding Authors). Link to the paper.
Asymmetric Modulation of Protein Order-Disorder Transitions by Phosphorylation and Partner Binding. Banerjee, P. R., Mitrea, D. M., Kriwacki, R. W.,Deniz, A. A., 2015. Angew Chem Int Ed Engl. 55(5):1675-9. Link to the paper.
Shedding light on protein folding landscapes by single-molecule fluorescence. Banerjee, P. R., Deniz, A. A. 2014. Chem. Soc. Rev. 43, 1172-1188. Link to the review.
Ultrafast cooling reveals microsecond-scale biomolecular dynamics. Polinkovsky, M. E.*, Gambin, Y.*, Banerjee, P. R.*, Erickstad, M. J., Groisman, A., Deniz, A. A. 2014. Nat Commun. 2014 Dec 17; 5:5737 (*Equal contributions first authors). Link to the paper.
Doctoral Work
Cataract-associated mutant E107A of human gamma D-crystallin shows increased attraction to alpha-crystallin and enhanced light scattering. Banerjee, P. R., Pande, A., Patrosz, J., Thruston, G. M., Pande, J. 2011. Proc. Natl. Acad. Sci. (U.S.A) 108, 574-579. Link to the paper.
Commentary published in PNAS (Link)
Increase in surface hydrophobicity of the cataract-associated P23T mutant of human γD-crystallin is responsible for its dramatically lower, retrograde solubility A Pande, K S Ghosh, P R Banerjee, J Pande. Biochemistry 49 (29), 6122-6129352010. Link to the paper.
NMR study of the cataract-linked P23T mutant of human γD-crystallin shows minor changes in hydrophobic patches that reflect its retrograde solubility. A Pande, J Zhang, P R Banerjee, S S Puttamadappa, A Shekhtman, J Pande. Biochemical and biophysical research communications 382 (1), 196-199242009. Link to the paper.
Molecular mechanism of the chaperone function of mini-α-crystallin, a 19-residue peptide of human α-crystallin. P R Banerjee, A Pande, A Shekhtman, J Pande. Biochemistry 54 (2), 505-515152014. Link to the paper.
Increased hydrophobicity and decreased backbone flexibility explain the lower solubility of a cataract-linked mutant of γD-crystallin. P R Banerjee, S S Puttamadappa, A Pande, A Shekhtman, J Pande. Journal of molecular biology 412 (4), 647-659152011. Link to the paper.